Bài thuốc chữa bệnh - Banner
HOME MENU Bài thuốc chữa bệnh - Tìm kiếm

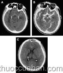
Tràn dịch não

Chế độ ăn phòng ngừa tai biến mạch máu não

Thần dược đêều trị tai biến mạch máu não

Tràn dịch màng nãoĐại cương

Thông thường, dịch não tủy của trẻ vẫn được tiết ra mỗi ngày, đồng thời các mạch máu não cũng hấp thu hết số dịch này để thải ra. Ở trẻ mắc bệnh, não không thể tự cân bằng được, lượng dịch não tủy tiết ra nhiều hơn so với lượng dịch hấp thu vào máu, làm cho nước bị ứ ở não.

Điều trị

Triệu chứng: Đầu to trên mức giới hạn thông thường; thóp trước rộng và căng phồng; đôi mắt luôn nhìn xuống. Nặng hơn, trẻ có thể bị liệt (thường gặp nhất là liệt hai chi dưới), điếc, chậm phát triển tâm thần, vận động...

Phép chữa: ôn dương lợi thủy

Theo Trung Quốc danh phương toàn tâp dùng bài: "Ngũ linh tán"

Ngũ linh tán Trư linh 9 Trạch tả 15 Bạch linh 9
Quế chi 6 Bạch truật 9

Sắc uống ngày 1 thang.

Công hiệu, lợi thủy thẩm thấp, ôn dương hóa khí

Tham khảo thêm về bệnh viêm não

Rối loạn tuần hoàn não, thuốc chữa bênh Rối loạn tuần hoàn não ...

Di chứng não, thuốc chữa bênh di chứng não ...

Cácvị thuốc chữa bệnh viêm não

Xuyên khung, Tác dụng của Xuyên khung chữa trị bệnh phù não ...

Sừng tê giác, Tác dụng của Sừng tê giác chữa trị bệnh viêm não ...

Long đởm thảo, Tác dụng của Long đởm thảo chữa trị viêm não...

Kim ngân hoa, Tác dụng của Kim ngân hoa chữa trị viêm não ...

, Tác dụng của chữa trị tai biến mạch máu não ...

Cácbài thuốc chữa bệnh viêm não

Chỉ kinh tán, tác dụng của bài thuốc Chỉ kinh tán chữa trị viêm não ...

An cung ngưu hoàng hoàn , tác dụng của bài thuốc An cung ngưu hoàng hoàn chữa trị viêm não...

Thần tê đơn, tác dụng của bài thuốc Thần tê đơn trị bệnh viêm não ...

Bổ dương hoàn ngũ thang, tác dụng của bài thuốc Bổ dương hoàn ngũ thang chữa trị viêm não...

Phòng phong thông thánh tán chữa trị tràn máu não ...

Tử Tuyết Đơn, tác dụng của bài thuốc Tử Tuyết Đơn trị bệnh viêm màng não ...

Lục Vị Địa Hoàng Hoàn, tác dụng của bài thuốc Lục Vị Địa Hoàng hoàn trị tai biến mạch máu não...

Thông đạo tán, tác dụng của bài thuốc Thông đạo tán chữa trị tràn máu não ...

Thanh vinh thang, tác dụng của bài thuốc Thanh vinh thang chữa trị viêm não ...

Nếu bạn thấy bài viết này hữu ích. Hãy chia sẻ để tạo phúc cho mình và giúp đỡ mọi người.

Tư vấn sức khỏe trực tuyến Tư vấn sức khỏe trực tuyến Chia sẻ facebook Tư vấn sức khỏe trực tuyến


Bài viết đã được đăng ký bản quyền (DMCA). Nếu copy nội dung hãy để lại link về bài gốc như một sự tri ân với tác giả. Xin cảm ơn!
Thông tin trên Website :www.thaythuoccuaban.com chỉ có tính chất tham khảo. Người xem không được dựa vào để tự chữa bệnh.
. Địa chỉ: Số 482 lô 22C Đường Lê Hồng Phong, Đông Khê, Ngô Quyền, Hải Phòng. GP : 197GCN HNY SYTH
Tư vấn sức khỏe trực tuyến  Tư vấn sức khỏe trực tuyến   Đầu trang